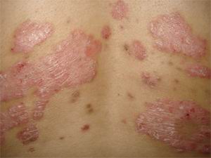
牛皮癣该如何治疗
作者:苏州肤康皮肤病医院 http://www.szjfjyy.com/ 来源:苏州皮肤科医院 时间:2016-10-31
在线咨询
秋冬季节,天气寒冷干燥,也是牛皮癣容易复发的季节,所以,牛皮癣患者一到此时,就会担惊受怕,有时即使小心翼翼也难以避免牛皮癣的侵扰。患者急于找到治好的方法,却往往病急乱投医,盲目治疗增加治好的难度。》》》点击快速咨询预约
苏州肤康皮肤病医院的客服提醒您,牛皮癣若不及时治好,带来的危害是极大的。
1、可造成营养不良:牛皮癣可导致皮肤大量的脱屑。而这些皮屑的主要成分为蛋白质、维生素和叶酸等。若牛皮癣迁延多年不愈或大面积扩散,患者就会出现营养不良,并可伴有乏力、倦怠、面色苍白等症状,甚至可出现低蛋白血症或营养不良性贫血。》》》好可怕,点击客服一对一解析详情
2、可造成关节损害:关节型牛皮癣患者除了具有皮肤表现外,还可出现关节肿大疼痛、活动受限、晨僵、有积液或变形等类风湿关节炎的症状。对此类患者进行X线检查,可发现其关节呈类风湿关节炎样改变。
3、可造成继发性感染和心力衰竭:红皮病型牛皮癣是牛皮癣中较为少见且较为严重的一种类型。该病患者可出现头痛、发热、畏寒、浅表淋巴结肿大等症状。其周身的皮肤可表现为弥漫性的潮红或暗红色,同时伴有肿胀或有渗出液,上面可覆盖大量的麸皮样鳞屑。
4、可造成肝、肾等脏器的损害:泛发性脓疱型牛皮癣银屑病常常可并发肝、肾等脏器的损害,也可引起继发性感染、水电解质紊乱等病症,脓疱型牛皮癣银屑病患者甚至可因肝、肾功能衰竭而死亡。
牛皮癣不是不可治好的,明白了这点各位患者的心理压力相信会小了许多,只要找对医院,给予时间和耐心,健康的肌肤指日可待。苏州肤康医院皮肤科欢迎各位患者点击在线咨询我院客服,也可以拨打电话0512-83986297,同时也衷心祝您早日恢复健康,开始新的生活!















